Die Kernspintomographie, auch Magnet-Resonanz-Tomographie (MRT) genannt, ist ein modernes Diagnoseverfahren, welches Bilder des menschlichen Körpers durch Magnetfelder und Radiowellen erzeugt und krankhafte Veränderungen sichtbar macht. Schädliche Röntgenstrahlen kommen dabei nicht zur Anwendung. 
 
 
	
										
																
					
					
					
					Was die MRT leistet ...
					
 
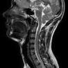
Gehirn, Rückenmark, Nerven
 
 
 
Herz, Leber, Gallenwege, Bauchspeicheldrüse, Nieren, Harnwege, Geschlechtsorgane
 
 
  
									
					 											
																
					
					
					
					Was die MRT leistet ...
					
 
Dynamische Kontrastmittel-MRT der Brust
 
 
 
Darstellung der Schlagadern ohne Katheter, Jodkontrastmittel oder Röntgenstrahlen
 
 
 
Darstellung des ganzen Körpers für Vorsorge und Krebsdiagnostik
 
 
  
									
					 	
 
Mehr zur MRT- Technik ...
	
So entstehen die MRT-Bilder
 
 
Darstellung der Körpergewebe
 
 
Aufdecken krankhafter Veränderungen
 
 
Das medizinische Großgerät
 
 
Welche Risiken die MRT hat und wann sie nicht durchgeführt werden kann
 
 
 
So läuft eine Kernspintomographie ab.