Banner 1

Sonographie

Anmeldung

Zum Anmeldeformular

Radiologisches Zentrum am Kaufhof eGbR
U. Meiners, Dr. K. Bödeker,
Dr. C. Bredow, J. Freise, J. Wien
Radiologen - Radiologin
Marlistr. 112 * 23566 Lübeck
Tel 0451-61096-0
Fax 0451-61096-55
info(at)radiologen-luebeck.de
www.radiologen-luebeck.de

Sprechstunden

Mo, Di, Do 8-17 Uhr
Mi 8-13 Uhr, Fr 8-15 Uhr
Außerhalb der Sprechstunden:
Patientenservice Tel. 116 117

Die Sonographie, auch Ultraschalluntersuchung bedient sich zur Bilddarstellung Schallwellen im nicht mehr hörbaren Ultraschallbereich. Sie arbeitet also ohne Belastung durch Röntgenstrahlen. Die Schallwellen haben sich als so unbedenklich erwiesen, daß die Sonographie auch während der Schwangerschaft eingesetzt wird.

Ultraschallgerät Mindray DC-8

Die Schallwellen von 3,5-13 MHz werden vom Schallkopf des Ultraschallgerätes ausgesandt, dringen in den Körper und werden an Grenzflächen im Gewebe reflektiert. Ähnlich wie beim Echolot kann aus der Laufzeit des Schallreflexes die Entfernung zum Schallkopf ermittelt werden. Auch die Registrierung der Echos erfolgt im Schallkopf in mehreren räumlich auflösenden Detektoren. Ein Computer im Gerät errechnet aus den Daten ein Live-Bild.

Luft, z.B. in Lunge oder Darm dämpft den Schall so stark, dass man mit dem Ultraschall nicht "hindurchsehen" kann. Auch knöcherne Strukturen bleiben für den Ultraschall undurchsichtig. Um Störungen durch die dünne Luftschicht zwischen Schallkopf und Haut zu verhindern, wird ein Gel auf die Haut aufgetragen.

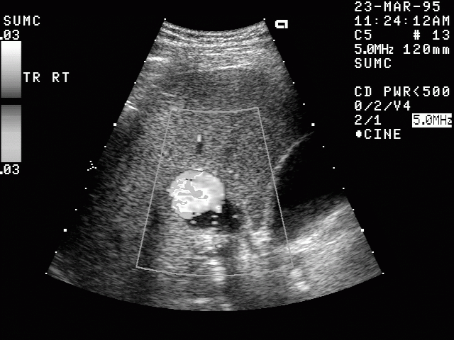
Ultraschallbild eines Leberhämangioms - Sonographie

Die Ultraschalluntersuchung wird heute in fast allen Fachdisziplinen angewendet. Oft ist sie so etwas wie "das Stethoskop des späten 20. Jahrhunderts". Daneben sind in den medizinischen Fachgebieten inzwischen zahlreiche Spezialanwendungen entstanden. Mit der Hochfrequenzsonographie werden oberflächliche Organe wie z.B. Speicheldrüsen (Sialosonographie), Schilddrüse oder die weibliche Brust (Mammasonographie) mit besonders hoher Auflösung abgebildet. Kinderärzte können das Hirn bei Säuglingen durch den teilweise noch unverknöcherten Schädel darstellen. Besondere Ultraschallsonden können bei Magen- oder Darmspiegelungen eingeführt werden und deren Umgebung von innen in hoher Auflösung darstellen (Endosonographie). Diese Technik wird auch bei der Darstellung der Beckenorgane vom Enddarm aus angewendet.

Besondere Bedeutung hat die Dopplersonographie erlangt. Mit dem Dopplerprinzip kann die Fließgeschwindigkeit und -richtung von Blut dargestellt werden, um Gefäßverengungen und -verschlüsse nachzuweisen oder stark durchblutete Tumore zu erkennen.